Mehdian website header
HOME CONTACT CONTACT PROFILE SURIGAL DEVELOPMENTS ACADEMIC ACTIVITIES PUBLICATIONS MEDIA
Mehdian sub graphics
 
 

Profile

Professor Hossein Mehdian MD, MS(Orth), FRCS(Ed)

Professor Mehdian was appointed as a Consultant Spinal Surgeon at Queen’s Medical Centre, University Hospital Trust, Nottingham, (UK) n April 1993. He is one of the founder members of the world renowned Centre for Spinal Studies.  Having practiced spinal surgery exclusively for over 23 years, he has performed over 5000 spinal operations. Mr Mehdian has been involved in the management of complex adult and paediatric spinal deformities, low back pain, cervical disorders, spinal trauma, tumours and reconstructive surgery.

mr mehdian photo
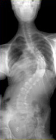
spine x-ray before treatment spine x-ray after treatment

Having completed training in spinal surgery at The Robert Jones and Agnes Hunt Orthopaedic Hospital, Oswestry and at The Princess Elizabeth Orthopaedic Hospital, Exeter,  he holds the Fellowship of the Royal College of Surgeons of Edinburgh, FRCS(Ed).

He has international roles with the Scoliosis Research Society (SRS) including past chair of the Global Outreach Committee, member of the Awards and Scholarships committee, Adult Deformity Committee and Patients Education Committee. With the European Spine Society he forms part of the Membership and Programme Committees.

He is a visiting Professor to several centres of spinal surgery across the world.